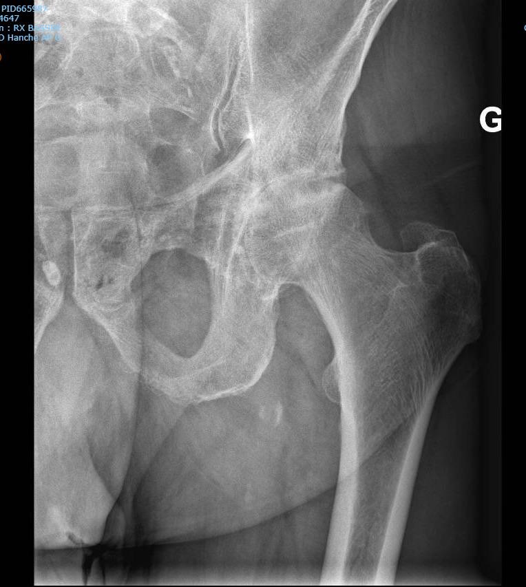
COMPLEX FRACTURE TREATMENT

Complex fracture treatment involves the surgical repair of severely broken or misaligned bones using advanced techniques such as internal fixation with plates, screws, or rods. Dr. Enrique Vélez specializes in restoring bone alignment, stability, and function to ensure proper healing and long-term mobility, especially in trauma-related or multi-fragment fractures.

COMPLEX FRACTURE TREATMENT FAQ

A complex fracture involves multiple bone fragments, displacement, or damage to surrounding tissue, often resulting from high-impact trauma such as accidents or falls.

Treatment usually involves surgery using plates, screws, or rods to realign and stabilize the bone. Dr. Vélez evaluates each case individually to determine the best approach for healing and recovery.

Recovery time varies based on the severity and location of the fracture, but most patients need several weeks to months of rehabilitation to regain strength and function.

Yes. Physical therapy is a crucial part of the recovery process. It helps restore mobility, improve strength, and reduce stiffness after the bone has been stabilized.

If left untreated or improperly managed, complex fractures can lead to chronic pain, joint deformity, limited mobility, or long-term complications such as non-union or infection.

Get Started

BOOK A FREE CONSULTATION

Play Message from Dr. Enrique VÉLEZ

en_USEnglish